ブラックボードを設置しました。
山陽西二見駅から徒歩5分の歯医者、河田大人こども歯科クリニックです。
本日はフッ素の効果についてお話しします。
フッ素には、エナメル質の修復促進、歯質強化、菌の働きを弱めるなど、むし歯の発生を防ぐ効果があり、予防に有効な成分として注目されています!


山陽西二見駅から徒歩5分の歯医者、河田大人こども歯科クリニックです。
本日はフッ素の効果についてお話しします。
フッ素には、エナメル質の修復促進、歯質強化、菌の働きを弱めるなど、むし歯の発生を防ぐ効果があり、予防に有効な成分として注目されています!
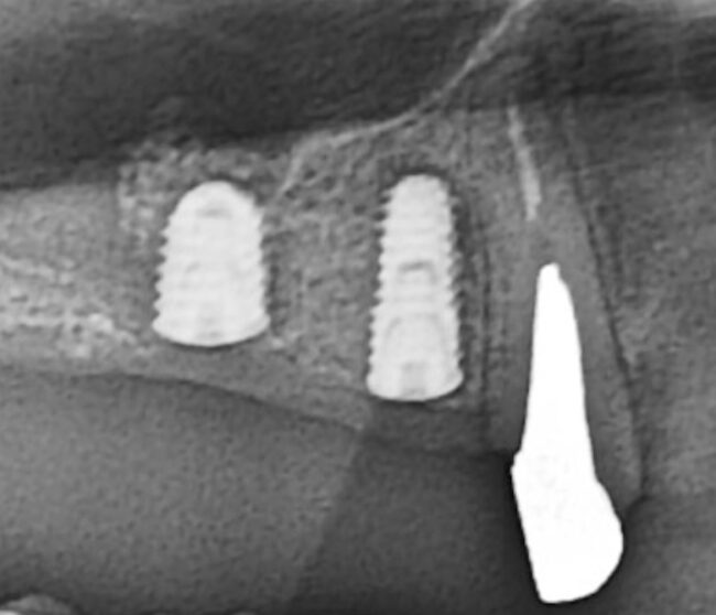
山陽西二見駅から徒歩5分の歯医者、河田大人こども歯科クリニック、院長の河田です
先日、インプラントのオペを行いました。骨が不十分なところに、ソケットリフトという骨造成のテクニックを併用してインプラントを2本埋入しました。
患者様曰く、以前に他院でインプラントができないと言われたそうですが、骨造成を併用すれば問題なくインプラントのオペができました。
インプラントで悩んでいる方がおられましたら、ぜひ当院にてご相談ください。
山陽西二見駅から徒歩5分の歯医者、河田大人こども歯科クリニックです。
当院では、安心して治療を受けていただけるよう、滅菌と消毒に力を入れております!
紙コップや、器具を置くトレーなど使い捨てにできるものはディスポーザブルにしたり、チェアーも患者様ごとにしっかり消毒しています
今使用している紙コップはsmileとかかれておりとても可愛いです
日曜日診療もしていますので、お痛みなど症状がある場合はお気軽にお電話下さい。
山陽西二見駅から徒歩5分の歯医者、河田大人こども歯科クリニック、院長の河田です。
今日は午前中は雑務がありましたが、午後から自由だったのでクリニックから明石海峡大橋までウォーキングをしてきました。
山陽西二見駅から徒歩5分の歯医者、河田大人こども歯科クリニック、院長の河田です。
今日は自転車で、明石公園の中にある兵庫県立図書館へ行ってきました。兵庫県立図書館は、自習スペースが開放されています。読めていない歯科雑誌が溜まっていたので、持ち込んで勉強しました。
歯科雑誌を読むことと、自転車で運動することが目的です。
山陽西二見駅から徒歩5分の歯医者、河田大人こども歯科クリニック、院長の河田です。
今日は山の日で休日だったため”山”に登りました。
六甲縦走路の半分、後半コースを縦走しました。
山陽西二見駅から徒歩5分の歯医者、河田大人こども歯科クリニック、院長の河田です。
当院ではサンキューカードというものを導入しています。
診療中などで、「ありがとう」と思ったことがあると、カードに記入し、スタッフルームに設置しているコルクボードに貼る、とうい取り組みです。
今回は一番「サンキュー」が多かったスタッフさんにお菓子の詰め合わせをプレゼントしました。